Patient cases
Implantology
All-on-6
All-on-4
Complex ceramic and zirconium (computerized)
Mini implant mobile prostheses
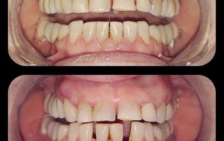
Patient with wide mandibular edentation
The patient asked our specialists to find a fixed prosthetic solution because the mobile prosthesis he had no longer corresponded to the functional masticatory demands. Following a clinical examination and analysis of the radiologic bone supply, the following treatment plan was carried out: 4 existing teeth on the arch were preserved (see photo 1) and were inserted in the edentate area by a surgical procedure of 8 implants (see photo 2).
After osseointegration (4-6 months), gum-forming scrubs were applied to the implants for one week, after which fixed metal-ceramic works were carried out on the implants and the existing teeth remaining on the arch. (see photo 3, 4).
Patient with edentation (missing teeth) in the lateral mandibular area
The patient appeared for the restoration of the edentate area. 2 implants were inserted (see photo 1) and 6 months after their bone integration, 2 metal-ceramic crowns were placed on the implant. (photos 2 and 3)
Patient with edentation (missing teeth) in the frontal mandibular area
The patient came to our clinic to settle the issue of his frontal edentation that had been initially restored by an aesthetically and functionally inappropriate acrylic work.
We proposed and carried out 2 implants in the missing area, thus replacing the roots of the teeth, over which we placed metal-ceramic crowns, thus restoring the edentation.
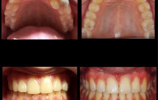
Fully edentated patient
The patient lost all his teeth many years ago, both in the upper and in the lower jaws, which were restored by mobile prostheses. The surgeon performed the required bone augmentation – a maneuver called sinus lift – on each side (left and right) and applied a number of 8 implants during the first session. We assure you that the patient did not feel any discomfort or pain during the 2½-hour intervention. At 10 days we applied 4 implants to the mandible (we could not insert more from the bone shortage), which took about 1 hour. After 5 months radiological verification of osteointegration (see photo 1) was carried out and the metal-ceramic fixation work was done on implants at the jaw (see photo 2,3,4), and a mobile work on implants on the mandible. (see photo 5 and 6).
The patient was morphological, esthetically and functionally rehabilitated (see photo 7)
Patient with lateral mandibular edentation
After applying the 3 implants in the edentate area (see photo 1), after the period of osseointegration, a metal-ceramic work was performed. (see photo 2.3
Patient with total mandibular edentation
In some cases, the lower full acrylic prostheses have very low stability, patients being dissatisfied by it. This patient appeared with the same situation, feeling not that comfortable with the existing prosthesis, because of its stability issues. Following a clinical and radiological consultation, the existing bone supply allowed for the insertion of 3 implants into the mandible bone. After a period of 6 months, the implantation was radiologically examined, and the prosthetic stage was initiated. A full acrylic prosthesis was performed on the three dental implants through a ball system.
The comfort obtained by this work is much higher compared to the previous prosthesis, and the patient was extremely satisfied with the stability of the new work.
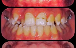
Orthodontics
Dental aesthetics
Ceramic crowns on zirconium














































































