Cazuistică
Implantologie
All-on-6
All-on-4
Lucrări complexe ceramică și zirconiu (frezare computerizată)
Lucrare mobilă pe mini implante
Pacient cu edentatie mandibulara intinsa
Pacientul a solicitat specialistilor nostri gasirea unei solutii protetice fixe deoarece proteza mobila pe care o detinea nu mai corespundea solicitarilor functionale masticatorii. In urma unei consultatii clinice si analiza ofertei osoase radiologic, s-a realizat urmatorul plan de tratament: s-au pastrat dintii existenti pe arcada in numar de 4 (vezi foto 1) si s-au introdus in zona edentata printr-o interventie chirurgicala un numar de 8 implanturi (vezi foto 2).
Dupa osteointegrare (4-6 luni), s-au aplicat surubele de gingivoformare la nivelul implantelor timp de o saptamana, dupa care s-au realizat lucrari fixe metalo-ceramice pe implanturi si pe dintii existenti ramasi pe arcada. (vezi foto 3,4).
Pacient cu edentatie (lipsa dintilor) in zona laterala mandibulara
Pacientul s-a prezentat pentru refacerea zonei edentate. S-a recurs la inserarea a 2 implanturi (vezi foto 1) iar la interval de 6 luni dupa integrarea osoasa a acestora s-a protezat cu 2 coroane metalo-ceramice pe implant. (foto 2 si 3)
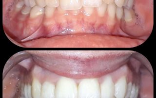
Pacienta cu edentatie (lipsa dintilor) in zona frontala maxilara
Pacienta s-a prezentat in clinica noastra pentru a rezolva edentatia frontala care a fost initial refacuta cu o lucrare acrilica necorespunzatoare din punct de vedere estetic si functional.
Noi am propus si realizat 2 implanturi in zona lipsa inlocuind astfel radacinile dintilor peste care am realizat coroane metalo-ceramice restaurand astfel edentatia.
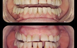
Pacient edentat total
Pacientul si-a pierdut toti dintii in urma cu multi ani, atat la maxilarul superior, cat si la cel inferior si a fost restaurat cu proteze mobile. Medicul chirurg a realizat augmentarea osoasa necesara- manopera numita sinus lift- pe fiecare parte (stanga si dreapta) si a aplicat un numar de 8 implanturi in cadrul primei sedinte. Va asiguram ca pacientul nu a simtit nici un disconfort sau durere in timpul interventiei care a durat 2 ore si jumatate. La interval de 10 zile am aplicat la mandibula 4 implanturi (nu am putut insera mai multe din lipsa de os), interventie care a durat aproximativ 1 ora. Dupa 5 luni s-a facut verificarea radiologica a osteointegrarii (vezi foto 1) si s-a realizat o lucrare fixa metalo-ceramica pe implanturi la maxilar (vezi foto 2,3,4) si o lucrare mobila pe implanturi la mandibula (vezi foto 5 si 6).
Pacient cu edentatie laterala mandibulara
Dupa aplicarea celor 3 implanturi in zona edentata (vezi foto 1) s-a recurs, dupa perioada de osteointegrare, la realizare unei lucrari metalo-ceramice. (vezi foto 2,3)
Pacienta cu edentatie totala mandibulara
In anumite cazuri, protezele total acrilice inferioare au stabilitatea foarte scazuta, pacientii fiind nemultumiti de acest fapt. In aceeasi situatie s-a prezentat si aceasta pacienta, comfortul resimtit cu proteza existenta fiind scazut datorita problemelor de stabilitate. In urma unei consultatii clinice si radiologice, oferta osoasa existenta a permis inserarea unui numar de 3 implanturi in osul mandibular. Dupa o perioada de 6 luni, s-a verificat radiologic intergrarea implantelor si s-a inceput etapa protetica. S-a realizat o proteza total acrilica fixata pe cele 3 implanturi dentare printr-un sistem cu bile.
Confortul obtinut prin aceasta lucrare este mult superior comparativ cu proteza pe care o avea inainte, pacienta fiind extrem de multumita de stabilitatea noii lucrari.
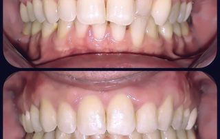
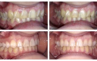
Ortodonție
Estetică dentară
Coroane ceramice pe suport zirconiu














































































